
7 VENTAJAS de nuestras CARILLAS INYECTADAS EN COMPOSITE
- No es necesario tallar tu diente natural
- Es un tratamiento mínimamente invasivo.
- No produce dolor. No precisa de anestesia.
- Es un procedimiento reversible.
- Es un tratamiento muy rápido, en 2 sesiones disfrutarás de la sonrisa que deseabas.
- Permite que tú elijas el color que deseas tener, bajando varias tonalidades.
- Es un tratamiento mucho más accesible desde el punto de vista económico por no necesitar la colaboración del laboratorio protésico.
¿Tienes una URGENCIA y deseas atención inmediata?
Llámanos ahora y te atenderemos en el momento.

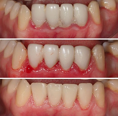
Pasos para las carillas inyectadas de resina
- Toma de impresiones digitales o analógicas para realizar encerado diagnóstico. En este paso, se realizan las modificaciones necesarias tales como tamaño y forma del diente logrando la armonía necesaria.
- Se elabora una llave de silicona basada en el diseño del encerado diagnostico para la realización de un mock up, lo cual es la demostración del resultado final con un material provisional.
- A través de esta misma llave de silicona el profesional inyectará el composite fluido sobre cada diente.
- Previamente se realiza una retención micro mecánica de la superficie dental a tratar. Para asegurarnos que el resultado final sea uniforme, armónico y estético,
- Finalmente realizamos ajustes de contornos, acabado y pulido de las carillas.
Registros necesarios para la realizacion de las carillas inyectadas en composite
- Fotografías intraorales y extraorales.
- Toma de impresiones para modelos de estudio en escayola o bien escáner intraoral.



Condiciones previas para el tratamiento con carillas inyectadas en composite
- No debe haber presencia de caries.
- No debe haber rastros de placa ni enfermedad periodontal activa.
- No debe tener síntomas activos de ATM.
¿Tienes una URGENCIA y deseas atención inmediata?
Llámanos ahora y te atenderemos en el momento.




